Salut dóna per tancat el brot de diftèria a Olot

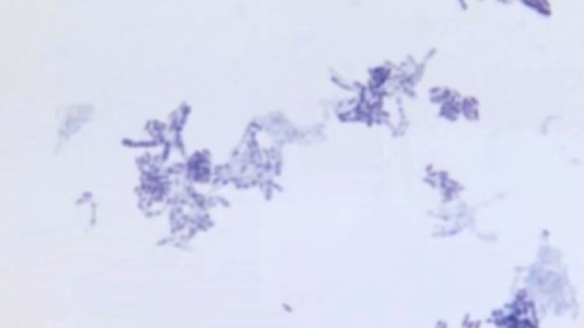
L'Agència de Salut de la Generalitat ha donat per tancat el brot de diftèria que va produir la mort d'un nen de 6 anys d'Olot. Els resultats de les dues últimes proves confirmen que els portadors, nou adults i un nen, que fins ara han estat aïllats a casa seva per evitar contagis, han eliminat completament el bacteri. Els deu portadors de diftèria no han desenvolupat símptomes de la malaltia perquè tots ells estaven vacunats.
Notícies relacionades:
- Els pares i familiars del nen de 6 anys mort per diftèria agraeixen publicament la feina del personal de l’Hospital de la Vall d’Hebron
- El Departament de Salut dóna d’alta als vuit portadors del bacteri causant de diftèria
- L’església de Sant Esteve d’Olot ha acollit aquest dilluns al matí el funeral del nen de sis anys mort per diftèria
Notícies relacionades:
- Els pares i familiars del nen de 6 anys mort per diftèria agraeixen publicament la feina del personal de l’Hospital de la Vall d’Hebron
- El Departament de Salut dóna d’alta als vuit portadors del bacteri causant de diftèria
- L’església de Sant Esteve d’Olot ha acollit aquest dilluns al matí el funeral del nen de sis anys mort per diftèria
